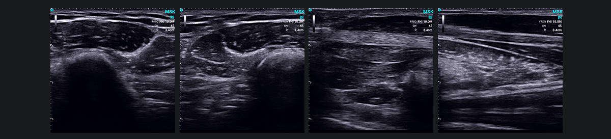
肌肉骨骼超声(MSK)近年来已成为一项突破性技术,利用高频超声来诊断肌肉骨骼系统疾病。它提供肌肉、肌腱、韧带、周围神经和其他浅表软组织结构的清晰图像,识别炎症、肿瘤、损伤和畸形等状况。

全球医生在 MSK 检查中使用 SonoEye
MSK 超声波在诊断关节疾病方面特别有效,包括类风湿性关节炎和痛风性关节炎。它还有助于检测代谢和全身疾病以及相关的关节。峁└髦植≈⒌娜媸油。
超声波的优点是显而易见的:实时成像、方便、成本效益高、手术过程无痛。作为一款便携式手持超声设备,SonoEye 结构紧凑且易于携带,非常适合在体育比赛等公共活动中快速响应。它提供即时扫描功能,为后续分诊和针对性治疗提供诊断支持。

MSK 中的 SonoEye 图像共享
此外,超声波的实时动态成像功能可以检测和观察仅在运动期间或特定位置出现的异常或病变,例如肌腱和神经脱位或肩部撞击综合症。它还可以同时扫描受影响的一侧和健康的一侧,从而有助于动态比较组织结构以识别异常情况。
SonoEye是智生自主研发制造的旗舰产品,代表着医学影像技术的重大进步。冬奥会期间,部署在北京大学第三医院崇礼院区的5G急救车上,保障了运动员的健康和安全。
MSK 超声波在运动医学、创伤骨科、疼痛管理、康复和风湿病学方面有着广泛的应用。它不仅有助于临床诊断,还可以实现超声引导下的介入治疗,缩短治疗周期,改善疗效。未来,SonoEye将继续在更多医疗领域履行使命,提高患者护理和诊断精度。
通过在主要社交媒体平台上关注 CHISON SonoEye,了解有关 SonoEye 手持式超声的更多信息。如需了解定价信息,请联系 sonoeye@chison.com.cn。